Implant Full Mouth Restoration

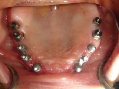
Case 1

Doctor's note:

54 yr old female. Patient had been wearing upper complete denture for a few years and lower teeth needed extractions. Lower immediate implant placement at the time of extraction done. Upper and lower denture was delivered as temporary restoration.

Implant used:
Hiossen ET3
Treatment Duration:
8 months

Case 2

Doctor's note:

68 yr old male. Patient decided not to wear dentures anymore. Complete dentures used as temporary.

Implant used:
Nobel Biocare
Treatment Duration:
9 months

Case 3

Doctor's note:

63 yr old female. Patient was referred to Dr. Kim’s office by another dentist as she presented with poor gum condition. She refused to wear dentures, and only wanted implants. Teeth were extracted, bone graft was placed into posterior maxilla via sinus augmentation, and implants were placed in after bone regeneration was complete.

Implant used:
Hiossen ET3
Treatment Duration:
14 months

 

 


 







Phone: 714-739-7173
Email: stephenkimddspc@gmail.com

 
We just wanted to send you a note to thank you for all of your help with our dental issues. It's so nice to know that we now have a great dentist and we are looking forward to having all of my work completed. Thanks again for your help and patience.
- ED


Buena Park Dentist | First Choice Dental Group | Dr. Stephen Kim
7841 Commonwealth Ave. Buena Park, CA 90621 | ph. 714-739-7173
Dental Websites by Solution21 | Legal Notices