Implant/Ortho Combo

Case 1

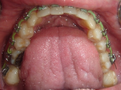
Doctor's note:

28 yr old male. Patient presented with severe class III malocclusion, protruding lower jaw, congenitally missing upper front tooth, arch size discrepancy of upper and lower jaw. Upper maxilla was expanded, and braces were used to create space for implant placement of missing upper anterior tooth. Upon completion, lower jaw was brought in to make it look less prominent, and normal cranio-facial relationship was established.

Implant used:
Hiossen HG2
Treatment Duration:
3.5 yrs.

Case 2

Doctor's note:

32 yr old female. Braces were placed by referring orthodontist. However, previous dentist made a mistake of extracting two of her lower teeth and the orthodontist decided it was impossible to close the space via orthodontic movement. Dr. Kim re-created the extraction site with braces, placed implants, and patient was sent back to her orthodontist to finish the case.

Implant used:
Hiossen Mini ET3
Treatment Duration:
1 yr

 

 


 







Phone: 714-739-7173
Email: stephenkimddspc@gmail.com

 
We just wanted to send you a note to thank you for all of your help with our dental issues. It's so nice to know that we now have a great dentist and we are looking forward to having all of my work completed. Thanks again for your help and patience.
- ED


Buena Park Dentist | First Choice Dental Group | Dr. Stephen Kim
7841 Commonwealth Ave. Buena Park, CA 90621 | ph. 714-739-7173
Dental Websites by Solution21 | Legal Notices